Calibrating and Recalibrating Measurements
For uncalibrated images, define a pixel-to-centimeter ratio for a selected linear measurement. This ratio determines the length or area, in centimeters or centimeters squared, of all linear, orthogonal, elliptical, and freehand region of interest measurements on the image.
InteleViewer only calibrates 2D regions on images. For example, InteleViewer does not calibrate non-2D regions such as waveforms on an ultrasound image.
Because of possible variance between images, measurement calibration is applied to the selected image only. If you want to calibrate multiple images in a series, you must do so individually. Once you calibrate an image, you can recalibrate it if required.
An image may already be calibrated if it contains DICOM calibration information from either the Pixel Spacing (0028, 0030) or Imager Pixel Spacing (0018, 1164) DICOM attributes. If you recalibrate such an image, you can revert to the DICOM information only by reopening the image.
Once you calibrate an image, rulers appear on the image to provide a visual indication of scale.
To calibrate measurements:
- Select the image that you want to calibrate.
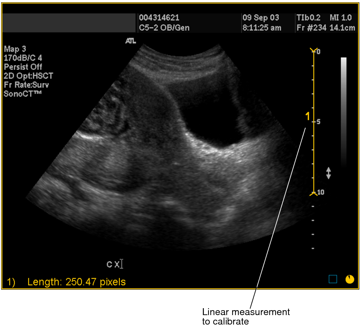
- Draw the line whose length you will use to define the
ratio of pixels-to-centimeters. You should draw this line on a scale
or other element of the image whose length in centimeters is accurately
known. To draw the line, click the Linear Measurement tool
. -
Click at the starting point of your measurement and drag. Release the mouse button at the end of your measurement.
A numbered measurement line appears, and the corresponding length appears in the bottom left corner of the viewport. Notice that the length is displayed in pixels.
-
Click the Calibrate Measurement tool
.The Calibrate Measurement dialog appears.
-
Enter the length of the measurement in centimeters.
For example, in step 3 you can see that the drawn line corresponds to a length of 10 centimeters on the scale.
-
Click OK.
The image is calibrated and the length of the measurement now appears in centimeters. All subsequent linear, orthogonal, elliptical, and freehand region of interest measurements that you create on the image are calibrated according to this ratio.
To recalibrate measurements:
-
Click the linear measurement to select it.
The line is highlighted.
-
Do one of the following, as required:
- To adjust the line length, click and drag either the start or end point.
- To move the line, click and drag the line connecting the end points.
-
Click the Calibrate Measurement tool
.The Calibrate Measurement dialog appears.
-
Enter the new length of the linear measurement in centimeters and then click OK.
The line is recalibrated and the length and area of all linear, orthogonal, elliptical, and freehand region of interest measurement tools on the image update to reflect your changes.
See Also